
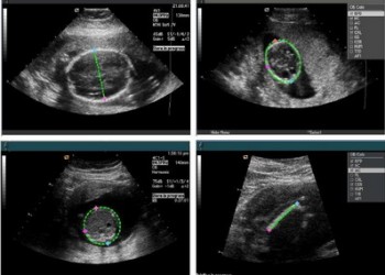
Biometria fetala consta în aprecierea ecografica a unor parametri ai produsului de conceptie.
În cadrul ecografiilor obstetricale se vor urmări dimensiunile și ariile anumitor segmente fetale, precum și fluxurile prin vasele de sânge fetale sau placentare. În urmărirea unei sarcini, se recomandă efectuarea a 4 examene ecografice:
- la 6-8 săptămâni – pentru confirmarea sarcinii, depistarea unei sarcini multiple, excluderea unei sarcini ectopice, stabilirea vârstei gestaționale și estimarea datei probabile a nașterii
- la 12-14 săptămâni – screening pentru depistarea sindromului Down și a altor anomalii cromozomiale prin măsurarea translucenței nucale și evaluarea piramidei nazale
- la 18-22 săptămâni – pentru morfologie fetală, stabilirea sexului fătului și a cantității de lichid amniotic
- la 34-36 săptămâni – pentru evaluarea dimensiunilor și greutății fătului, prezentației și placentei
Iată care sunt principalii indici de biometrie fetală:
- DMS (diametrul mediu al sacului) = reprezintă media aritmetică a dimensiunilor craniocaudală, transversală și anteroposterioară a sacului gestațional și este utilizată pentru aprecierea vârstei gestaționale până la 5-6 săptămâni de amenoree; valoarea sa este de 2-3 mm la 4 săptămâni, 5 mm la 5 săptămâni și 15 mm la 6 săptămâni
- CRL (crown-rump length) = lungimea cap-șezut, este cel mai bun parametru care estimează vârsta gestațională în primul trimestru (după săptămâna 13, fătul se curbează și aprecierea vârstei gestaționale se face pe baza diametrului biparietal, BPD)
- BPD (biparietal diameter) = diametrul biparietal, este parametrul cu cea mai bună acuratețe în stabilirea vârstei gestaționale în trimestrul 2
- OFD (occipito-frontal diameter) = diametru frontooccipital
- AC (abdominal circumference) = circumferința abdominală, prezintă o acuratețe maximă în corelarea cu vârsta gestațională între săptămânile 26-31
- FL (femoral length) = lungimea femurului
- HL (humerus length) = lungimea humerusului
- HC (head circumference) = circumferința craniană
- CI (cephalic index, BPD/OFD) = index cefalic
- FHR (fetal heart rate) = frecvența cardiacă fetală
- EFW (estimated fetal weight) = greutatea fetală estimată
- GS (gestational sac) = sacul gestațional
- TCD (transverse cerebellar diameter) = diametru transcerebelos transversal
- TTD (transverse thoracic diameter) = diametru toracic transversal
- APTD (anteroposterior thoracic diameter) = diametru toracic anteroposterior
- FTA (fetal trunk cross-sectional area)
Prin ecografie Doppler se mai pot evalua fluxurile prin artera ombilicală, aortă, artera cerebrală medie (MCA), arterele uterine arcuate, vena cavă inferioară.
Valori normale. Interpretarea rezultatelor
În momentul efectuării măsurătorilor, valorile sunt automat calculate de aparatul de ecografie și după compararea cu nomograme, afișează vârsta gestațională corespunzătoare valorii determinate.
Iată o serie de instrumente online cu valori normale ale biometriei fetale:
- Valori normale ale biometriei fetale pe săptămâni
- Calculator de biometrie fetală
- Un alt calculator pentru vârsta gestațională în funcție de parametri ecografici și un tabel cu valori normale pentru fiecare săptămână de sarcină